Dr.相武の初診診察について
初診診察の流れ
①問診票のご記入
まずは問診票にご記入いただきます。
問診票では、今回のご相談内容をお伺いします。
□ 症状の相談をしたい
□ 治療方法の相談をしたい
□ 治療費用の相談をしたい
□ 治療期間の相談をしたい
□ その他(Dr.より直接お伺いします)
患者様によって「知りたいこと」は異なります。
そのため当院では、患者様が気になっているポイントを事前に確認し、それに沿って診察やご説明を行っています。
②資料採取
・ オルソレントゲン撮影
次に、オルソレントゲン(パノラマレントゲン)を撮影します。
このレントゲンでは、
歯の本数
親知らずの状態
歯の根の状態
顎の骨の状態
などを確認することができます。
歯並びは見た目だけでは判断できない部分も多いため、歯や骨の状態を確認することが矯正診断の第一歩になります。
・ 口腔内スキャナーでの撮影
続いて、口腔内スキャナーで歯並びを撮影します。
口腔内スキャナーでは、歯並びを3Dデータとして記録することができ、現在の歯並びの状態をより正確に確認できます。
患者様ご自身にも画面で歯並びを見ていただきながら、どの部分に歯並びの問題があるのかを分かりやすくご説明することができます。

③ ドクターとの相談(問診票をもとにご説明)
診察結果をもとに、ドクターが問診票の内容を確認しながらご説明します。
例えば、
歯並びの状態
噛み合わせの特徴
現時点で考えられる治療プランの予想
治療期間の目安
など、患者様の知りたい内容に合わせてご説明します。
この段階では矯正治療の大まかな方向性を知ることができます。
疑問や不安があれば、このタイミングで遠慮なくご相談ください。
④矯正治療費用、お支払い方法のご案内
ここから、トリートメントコーディネーターによる費用のご案内を行います。
当院の治療プランは、治療の難易度(歯の移動量や抜歯の必要性)により決まる5つのプランがあります。
部分矯正プラン 3つ
全顎矯正プラン 2つ
⑤精密検査、コンサルテーションのご予約
引き続き、トリートメントコーディネーターから、精密検査とコンサルテーションのご案内をいたします。
★精密検査について
①精密検査について
矯正治療では「診断」がとても重要です。
正確な診断を行うために精密検査が必要です。
初診診察では現在の歯並びの状態を確認できますが、矯正治療を始めるためにはより詳しい精密検査が必要になります。
矯正治療では次のようなことを正確に分析する必要があります。
・歯をどの方向にどれくらい動かすのか
・抜歯が必要かどうか
・顎のバランス
・歯が並ぶスペース
・最終的な噛み合わせ
これらは簡単な診察だけでは正確に判断することができません。
そのため矯正治療では、精密検査のデータをもとに分析・診断を行います
そして、診断結果を基に患者様一人ひとりに合わせたクリンチェック治療計画を作成します。
当院の無料初診診察では、次回のご来院時に精密検査を行い、検査結果を分析、診断して
オーダーメイド治療計画を作成いたします。
※クリンチェック治療計画とは、®インビザライン・ジャパン株式会社の「マウスピース型矯正装置」の治療計画のことです
②精密検査とコンサルテーション(治療計画のご説明)のご予約について
精密検査費用は33,000円(税込)です
精密検査の結果をもとに作成する、オーダーメイド治療計画の作成とコンサルテーション(治療計画のご説明)費用が含まれます。
精密検査の結果をもとに作成した、インビザラインでの治療計画(クリンチェック治療計画)は患者様のご希望に沿った治療パターンを数種類ご提案する場合があります。
治療期間はどのくらいになるのか
抜歯が必要かどうか
実際の治療費用
などを、より正確にご説明することができます。
★オーダーメイド治療計画
①コンサルテーションで何を知ることができる?
患者様に精密検査を受けて頂いたのち、精密検査資料から、歯科医師が患者様の症状を分析、診断し治療計画を作成します。
□ 口腔内写真
□ 顔貌写真
□ セファロ分析
□ クリンチェック(ClinCheck®治療計画)
□ 治療プラン
□ 費用
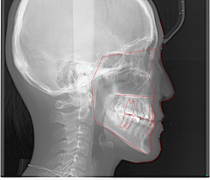
セファロ分析


ClinCheck®治療計画
検査結果、写真などの資料をご覧いただきながら、現在の症状と問題点についてと作成したオーダーメイド治療計画のご説明をいたします。
治療計画(複数のプランをお伝えすることもあります)をご覧いただいただき、患者様のご希望をしっかりおうかがいしたうえで最終的な治療方針、治療計画を作成し、インビザラインシステムによる矯正治療の開始となります。
当院では、ボトックスやヒアルロン酸注射による美容治療も行っております。ご希望の際はDr.竹内の美容治療コンサルテーションを受けて頂くことも可能です。
監修者
2003年 愛知学院大学歯学部歯学科 卒業
2003年 歯科医師免許取得
愛知県内の一般歯科 勤務
2023年 小児歯科・矯正歯科専門 きらめきデンタルクリニック 勤務
2024年 小児歯科・矯正歯科専門 きらめきデンタルクリニック 院長就任
2025年 矯正歯科アラインクチュール 名古屋栄院 勤務
相武 沙愛子 Saeko Aimu
所属学会
日本小児歯科学会所属
日本矯正歯科学会
日本口腔インプラント学会所属
日本歯周病学会所属
