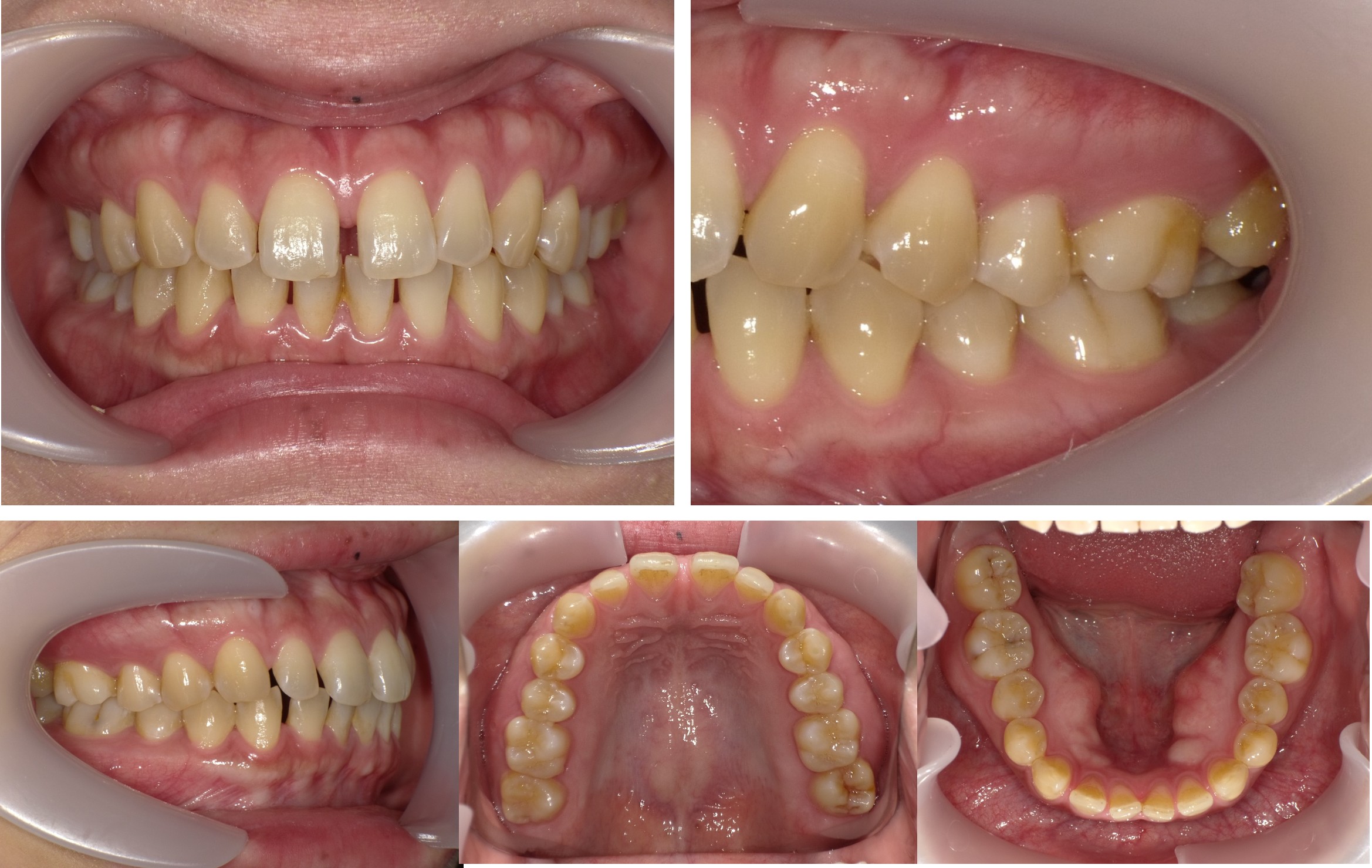
症例No.51 すきっ歯 正中離開 インビザライン矯正
初診診察時の問診
名古屋市東区にある矯正歯科アラインクチュール名古屋栄院では、患者さまにとってより詳しく正確な情報をお伝えするために初診診察が非常に重要と考えております。
このため、十分なお時間をお取りしてさまざまな検査および診査を行い、結果については担当歯科医師から詳しくご説明しております。
患者さまの情報
性別:女性
年齢:20代
問診1 お口の中やお顔のことで気にされていることを教えてください
今回の患者さまの場合
・上の前歯の隙間
問診2 歯列矯正治療を始める前に先生に聴いておきたいことはありますか?
今回の患者さまの場合
・矯正治療にかかる期間や費用を詳しく知りたい
・矯正治療の具体的な内容について聞きたい
・マウスピース型矯正装置で治るのかを知りたい
コンサルテーション(歯列矯正治療の計画、期間、費用のご説明)
コンサルテーションでは、2時間程度のお時間をいただき分析・診断およびオーダーメイド治療計画についてのご説明を行います。また、歯列矯正にかかる治療期間および、費用についてのご説明を行います。
歯列矯正治療前の分析・診断
検査の際のレントゲン写真、お口の中の写真、お顔の写真をもとに分析・診断を行い、歯列矯正治療の計画を作成していきます。

オーダーメイド治療計画の作成(診断と治療計画および、治療期間)
最終的に自分の歯並びやかみ合わせがどう変化していくのかを歯列矯正治療を開始する前に動画にてご覧いただきます。お一人おひとりの骨格は異なり、歯並びやかみ合わせも千差万別です。このため、治療計画も当然のことながら一様ではありません。歯列矯正治療前の分析・診断を誤れば望ましくない結果を生み出してしまいます。
イニシャルアライナー
今回のケースでは28個のインビザライン・アライナー(透明マウスピース型矯正装置)を装着することで1本1本の歯を最終位置に配置することが出来るという予定です。1個のインビザラインアライナー(透明マウスピース型矯正装置)を1週間間程度装着していただきますのでイニシャルアライナー治療期間はおおよそ7カ月です。
アディショナルアライナー(追加アライナー)
イニシャルアライナーでの治療が完了したところで、再度ドクターとカウンセリングを行い、新たなご要望をお聞きするとともに、イニシャルアライナーで改善しきれなかった箇所やかみ合わせの治療を行うためアディショナルアライナー(追加アライナー)を作成いたいます。矯正歯科アラインクチュールでは、患者さまにより満足いただくためアディショナルアライナーはコンプリヘンシブプランで2回まで、コンプリヘンシブプラスでは3回までが治療費に含んでおります。アディショナルアライナーの平均期間はコンプリヘンシブプランで6か月程度、コンプリヘンシブプラスで12か月程度となります。
歯列矯正治療にかかる費用のお支払い
歯列矯正治療は5つの費用に分かれております。
①初診診察費用
②オーダーメイド治療計画作成費用(診断費用)
③インビザライン矯正治療費用
④保定治療
⑤定期的な診察費用
①初診診察費用
矯正歯科アラインクチュール名古屋栄院では、患者さまにとってより詳しく正確な情報をお伝えするために初診診察が非常に重要と考えております。このため、充分なお時間をお取りしてさまざまな検査および、診査を行い、結果についてはドクターから詳しくご説明しております。
■費用:5,500円(税込)
■時間:検査および、ご説明に2時間程度いただいております。
②オーダーメイド治療計画作成費用(診断費用)
検査の際のレントゲン写真、お口の中の写真、お顔の写真をもとに分析・診断を行った結果についてご説明させていただきます。u003cbru003eそして、最終的に自分の歯並びやかみ合わせがどうなるのかを歯列矯正治療を開始する前に動画にてご覧いただきます。
■費用:49,500円(税込)
■時間:コンサルテーションにて2時間程度ご説明させていただきます。
③インビザライン矯正治療費用
今回のケースではオーダーメイド治療計画にて28個のインビザライン・アライナー(透明マウスピース型矯正装置)が必要という結果となりましたので【コンプリヘンシブ ¥946,440-】にてご契約させて頂きました。
※インビザライン・アライナーが28個をこえる場合には1個につき5,500円の加算費用がかかります。
④保定治療
保定治療はビベラリテーナー3セットが費用に含まれております。
⑤定期的な診察費用
アラインクチュールデンタルオフィスではeに一度の診察をお願いしております。この診察では計画通りに歯列矯正治療が進んでいるかどうか、お口の中やお顔、機能に問題が生じていないかについての診察を行います。
■費用:5,500円(税込)
■時間:1時間程度
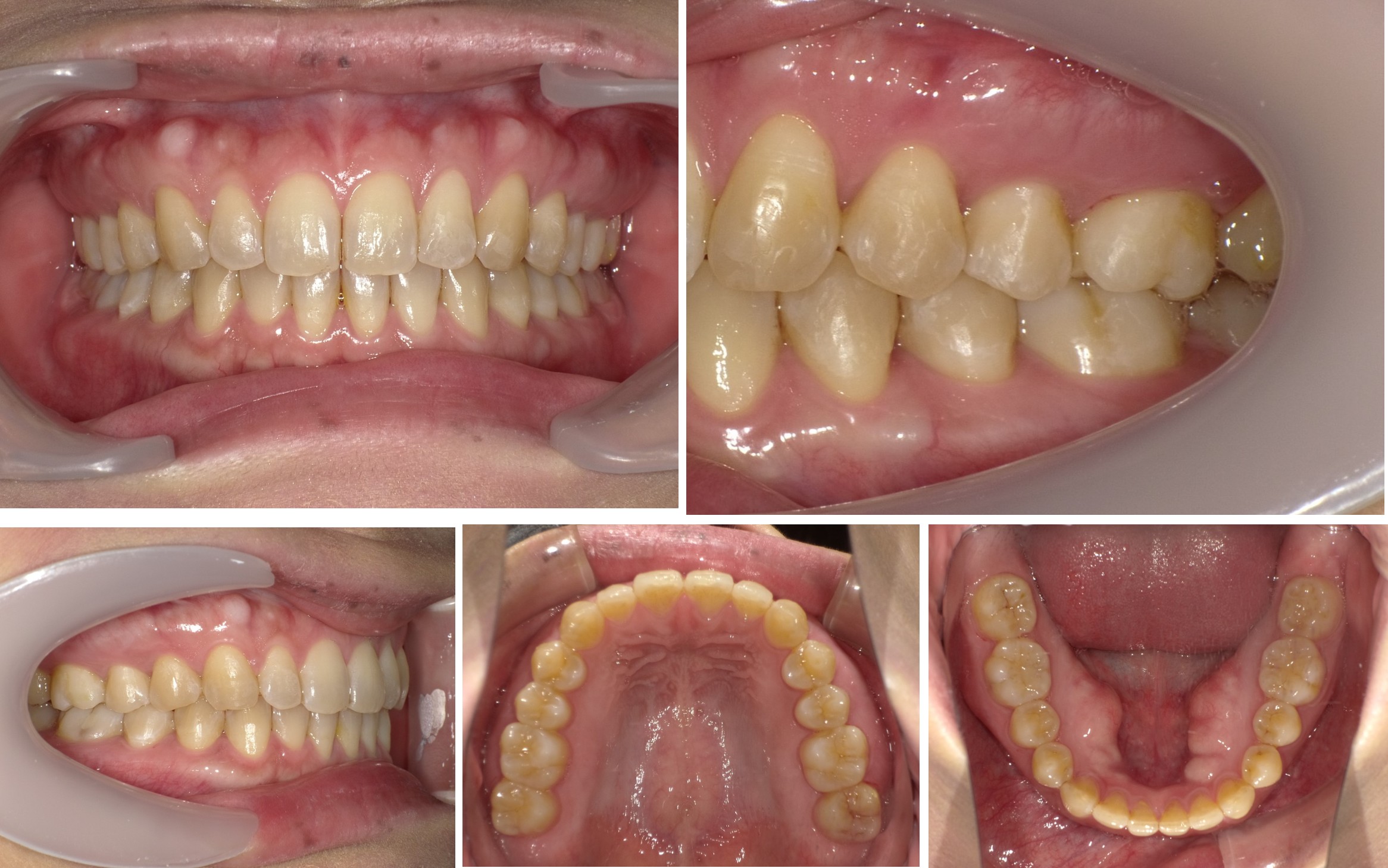
インビザライン矯正治療を終えて・・・
歯列矯正治療のビフォーアフター、治療にかかった期間や来院回数について解説いたします。
治療症例
歯列矯正治療にかかった期間、来院回数
■使用装置:インビザライン・アライナー(透明マウスピース型矯正装置)
■動的治療期間:8カ月
■保定治療期間:3年
■来院回数:8回 ※初診診察、コンサルテーションを含む
監修者
医療法⼈きらめき 理事⻑
アラインクチュールデンタルオフィス名古屋 院⻑
インビザライン社ファルカルティ* ※公認指導医
インビザラインダイアンモンドプロバイダー ※8年連続
インビザラインファースト部門世界シェア第1位 ※2019年
⽵内 敬輔 Keisuke Takeuchi
愛知学院大学歯学部卒業後、北海道の矯正歯科にて研修を積み、2004年に愛知県にて子供向けの矯正歯科/小児歯科を開業。2014年に世界で最も代表的な透明マウスピース型矯正治療であるインビザライン・システムのライセンスを取得し、2015年に名古屋市では初となるインビザライン矯正治療を専門とする矯正歯科アラインクチュール名古屋栄院をオープン。また、2019年には矯正歯科アラインクチュール東京銀座院にも同様の矯正歯科をオープンした。
マルチブラケット・システム矯正治療をはじめとする20年以上の歯列矯正治療の経験を持ち、インビザライン矯正治療3,600症例を含む6,600症例(2026年2月現在)を手がけ、2019年には子供向けのインビザライン・ファースト部門で16万人をこえるドクターの中で世界シェア第1位を獲得している。その経験の豊富さから日本だけでなく海外の歯科医師たちに対しても歯列矯正治療および、インビザライン・システムの教育や講演を行い、2021年よりインビザライン社のファカルティを務めている。 *インビザライン社のファカルティとは 透明マウスピース型矯正治療(インビザライン矯正治療)を⾏う歯科医師に対して指導を⾏う国内25名のみの公認指導医
