11歳(小学5年生)のインビザライン矯正日記①
息子とインビザラインと、時々、母~part1~
インビザライン矯正はじめました。
矯正歯科アラインクチュール名古屋栄院の黒澤亜有美です。
去年よりついに私の息子もインビザライン矯正をスタートすることになりました。
この機会に息子のインビザライン矯正事情を追っかけていこうと思っています。
野球少年なので、練習時の取り扱いに不安を抱く母ですが。。。
現在お子様の矯正治療の真っ最中の方や今後のお子様の矯正について悩んでいらっしゃる方など
少しでもみなさまのお役に立つ情報を発信出来れば幸いです。
初診診察
初診診察日:2025.8.28
年齢:10代
問診1 お口の中やお顔のことで気にされていることを教えてください
・歯並びのがたつき
・犬歯の噛み合わせ
・抜歯は必要なのか?できれば抜歯はしたくない
問診2 歯列矯正治療を始める前に先生に聴いておきたいことはありますか?
治療期間
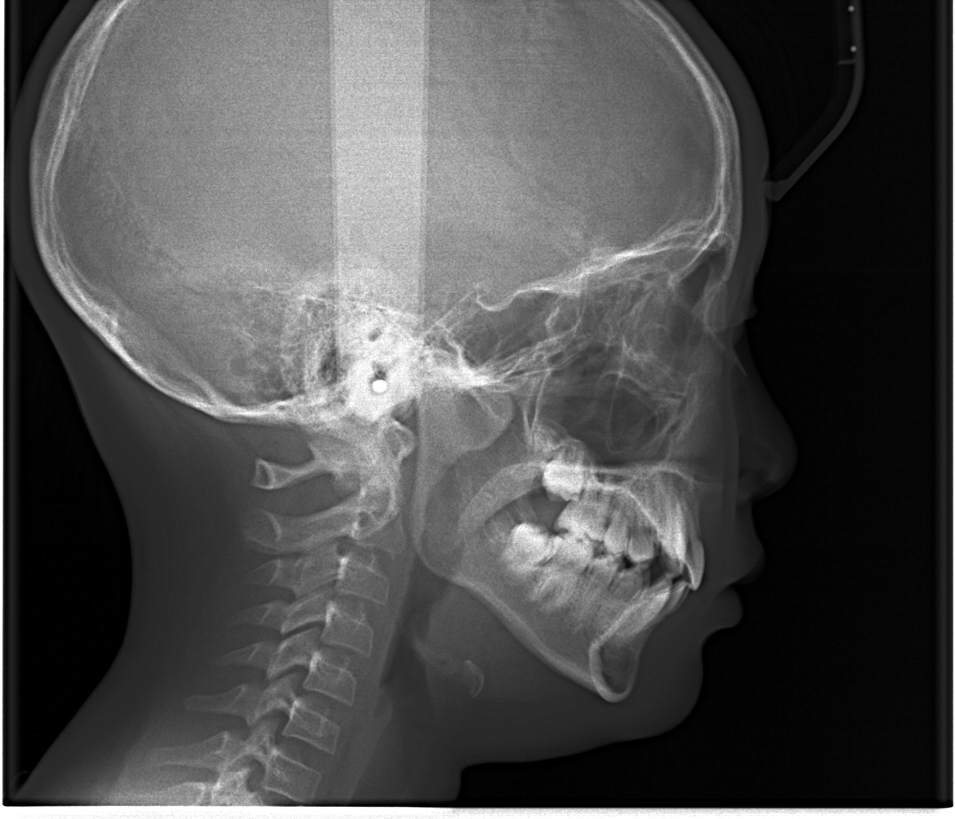
まずは、初診診察時には矯正治療の診断に必要な以下の資料採取を行います。
・顔面写真
・口腔内写真
・口腔内スキャン
・エックス線検査
資料採取が終了した後はドクターによる診察に基づいて患者様の主訴やご要望がどの程度改善できるのか、どのような治療計画が想定できるのかについての説明を受けます。(当院は初診診察に2時間いただきます。)
初診診察の費用は通常5500円ですが、ご紹介ですと5500円は無料となります!
コンサルテーション(歯列矯正治療の計画、期間、費用)
初診診察が終了し、次のステップはコンサルテーションです。
(治療計画を作成してもらうため、初診診察から2週間あけてコンサルテーションへ進みます。)
コンサルテーションでは、
分析・診断およびオーダーメイド治療計画についてのご説明を受けます。
また、歯列矯正にかかる治療期間及び費用についてもコンサルテーションにて確定していきます。(時間は2時間程度かかります。)
歯列矯正治療前の分析・診断
検査時のレントゲン写真、お口の中の写真、お顔の写真をもとに分析・診断を行い、歯列矯正治療の計画を立てていきます。

オーダーメイド治療計画の作成(診断と治療計画及び治療期間)
息子の場合では48個のインビザラインアライナーを装着することが確定しました。
1個のインビザラインアライナーを1週間装着していきますので動的治療期間はおおよそ15~16か月となることが確定しました。
そして、非抜歯での治療が可能という判定結果でありました。
あとは息子がインビザラインアライナーをきちんと装着するのみです!!!
矯正スタートまでの準備は整いました!!
歯列矯正治療にかかる費用について
歯列矯正治療は4つの費用に分かれております。
①初診診察費用(¥5,500)※紹介の場合は無料になります。
②オーダーメイド治療計画作成費用(診断費用)(¥49,500)
③インビザライン矯正治療費用(¥1,056,440)
※stage数により異なります。我が子の場合はstage48でしたのでコンプリヘンシブプラスでした。
④定期的な診察費用(¥5,500)
次回のコラムでは矯正治療前と現状との比較をしていきたいと思います。~続く~
執筆者
矯正歯科アラインクチュール名古屋栄院
黒澤亜有美 Ayumi-kurosawa
