症例紹介
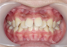
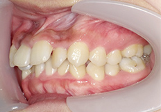
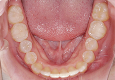
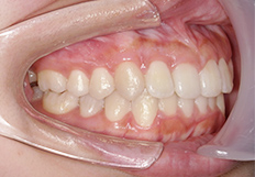
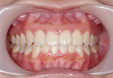
症例1 歯並びガタガタ
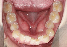
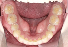
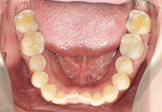
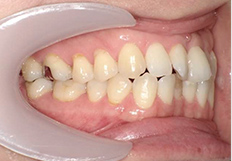
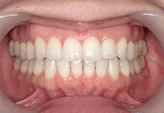
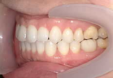
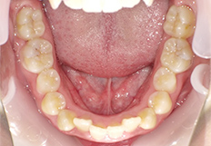
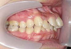
治療前


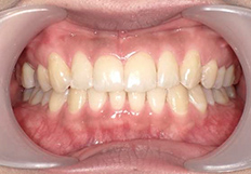
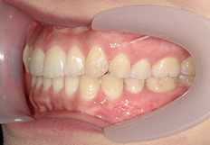
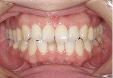
治療後


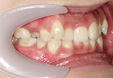
治療前


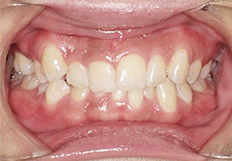
治療前


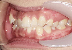
治療前


治療前


治療後


治療後


治療後


治療後


- 症例カテゴリ
- ガタガタ
- 治療期間
- 2年
- 治療費用
- 930,600円(税込)
- 主訴
- 歯がでこぼこしている。八重歯が気になる。咬み合わせが悪く下の前歯が見えない。
- 治療プラン
- インビザライン・システム
治療の詳細・結果
歯が並ぶスペースをつくるため、上顎歯列の拡大及びIPR(歯の隣接面を0.2ミリ程度削る処置)を行いました。
上下の正中線も一致し、歯並びも改善しました。また、見えなかった下の前歯も見えるようになり、噛み合わせも改善しました。1本1本の歯の形も整い、歯のホワイトニングまで行い、きれいなスマイルをつくれるようになりました。 歯並びガタガタ症例の詳細
症例2 前歯の噛み合わせが悪い
治療前


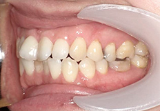
治療後


治療前


治療前


治療前


治療前


治療後


治療後


治療後


治療後


- 症例カテゴリ
- ガタガタ
- 治療期間
- 1年6ヶ月
- 治療費用
- 930,600円(税込)
- 主訴
- 上の歯がねじれている。口元が出ている。
- 治療プラン
- インビザライン・システム
治療の詳細・結果
歯が並ぶスペースをつくるため、上顎歯列の拡大及びIPR(歯の隣接面を0.2㍉程度削る処置)を行いました。 ねじれていた前歯がきれいになりました。1本1本の歯の形も整え、歯のホワイトニングまで行い、きれいなスマイルをつくれるようになりました。 前歯の嚙み合わせ症例の詳細
症例3 上の前歯が重なって生えている
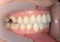
治療前


治療後


治療前


治療前


治療前


治療前


治療後


治療後


治療後


治療後


- 症例カテゴリ
- 出っ歯
- 治療期間
- 2年
- 治療費用
- 1,194,600円(税込)
- 主訴
- 出っ歯。上の前歯が重なって生えている。出来るだけ前の方の歯は抜きたくない。
- 治療プラン
- インビザライン・システム
治療の詳細・結果
歯が並ぶスペースをつくるため、一番奥の上顎第2大臼歯を抜歯し(写真赤丸)、順次後ろへ歯をずらしていきました。 また、抜歯した部分に第3大臼歯(親知らず)が移動するよう誘導しました。歯並びもきれいになり、出っ歯も解消されました。 前歯が重なる症例の詳細
歯列矯正のリスクについて
矯正治療ではリセッション(歯肉退縮)やブラックトライアングル(歯と歯の間の根元の空間)のリスクがあります。当院ではそのようなリスクをなるべく抑えるよう注意して治療を行っています。


